Polip là những khối tổ chức dạng u, sinh ra từ niêm mạc mũi xoang có nhiễm khuẩn và người bệnh có cơ địa dị ứng, miễn dịch không cao. Cắt bỏ một phần khối Polip sao cho khe mũi xoang được mở rộng như cấu trúc bình thường rồi hút rửa mủ cả hệ thống xoang là cách chống dị ứng tại chỗ hiệu quả. Thuốc Dupixen đang được thế giới đề xuất để điều trị Polip mũi. Bệnh nhân cần có nhiều tiền để trải qua xét nghiệm về dị ứng miễn dịch và mua thuốc. Chúng tôi không đưa ra được lời khuyên cho bạn về thuốc này... Mời bạn xem thêm bài dưới đây.
POLYP MŨI
Nasal Polyps
Trần Lệ Thủy MD., Ph.D
Trần Minh Trang MD., MSc
Websites: taimuihongthuytran.com & xoang.vn
Polyp mũi bên trái Polyp mũi bên phải

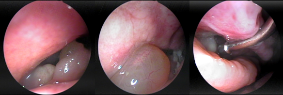
Polip hốc mũi phải
Bn ĐTM - 61 tuổi
Bn NPT - 41 tuổi
Polyp mũi là một trong những biến chứng của bệnh viêm mũi xoang mạn tính, là một bệnh lý có dạng u phát triển trên bề mặt niêm mạc của các cấu trúc bên trong hốc mũi như cuốn giữa (Middle Turbinate), khe mũi giữa (Middle Meatus), hoặc cửa lỗ xoang hàm, xoang sàng hoặc trong lòng các xoang. Về mặt giải phẫu Polyp thường xuất hiện cả hai bên hốc mũi, có nhiều múi, có thể quan sát được khi nội soi, có màu hồng nhạt, hoặc hơi xám, bóng nhắn, mềm và có thể di động lắc nhẹ khi có tác động của một lực tiếp xúc. Vị trí hay gặp nhất là Polyps ở khe giữa, có thể phát triển kích cỡ lấp đầy khe này và lan rộng bít kín hốc mũi; Polyp có thể triển ra phía sau che kín lỗ mũi sau và thõng xuống vòm họng.
Về mặt tổ chức bệnh học (histopathology), Polyp phát sinh từ lớp niêm mạc bình thường của mũi xoang không có đường ranh giới ở nơi chân bàm. Cần chẩn đoán phân biệt Polyp mũi với những khối u ở vùng này như Chordoma, Chemodectoma, Neurofibroma, Angiofibroma, các loại ung thư, u thoát vị màng não , não. Polyp mũi thường phát triển trên những cá thể có những bệnh hệ thống như dị ứng, hen, viêm mũi xoang dị ứng, viêm mũi xoang nhiễm nấm, viêm mũi xoang nhiễm khuẩn mạn.
Chẩn đoán không khó: Mặc dù ở vùng hốc mũi có rất nhiều loại u nhưng hình ảnh Polyp lại rất điển hình nên không cần thiết phải đưa ra vấn đề chẩn đoán phân biệt bằng tế bào học.
ĐIỀU TRỊ POLYPS MŨI
Cần xác định mức độ xoang viêm trên những bệnh nhân có Polyps mũi để giâi nguyên nhân viêm xoang. Bản thân Polyp là một khối vật chất gây cản trở đường thông khí mũi xoang nên điều trị ngoại khoa là cần thiết.
Phẫu thuật: Là cắt bỏ đi phần Polyp đã phát triển vượt ra khỏi vị trị chân bám trên niêm mạc mũi gây cản trở đường lưu thông giữa các lỗ xoang tự nhiên và hốc mũi, gây bít tắc thông khí. Tuy nhiên sau phẫu thuật Polyp vẫn có thể tái phát. Nan giải nhất là điều trị những trường hợp Polyp phát triển từ niêm mạc lót trong lòng các xoang. Những kỹ thuật cổ điển nạo vét niêm mạc xoang đã được loại bỏ vì việc này đã phá vỡ chu trình đào thải niêm dịch tự nhiên từ bên trong hệ thống xoang ra ngoài hốc mũi và gây hậu quả viêm màng xương của xoang.
Điều trị nội khoa: Là kháng sinh, thuốc chống dị ứng và Corticoid. Trong thực tế những thuốc này chưa đạt hiệu quá mong muốn vì rằng dị ứng và miễn dịch vẫn là vấn đề nan giải chưa đi đến hồi kết. Năm 2017 Hội mũi xoang Châu Âu và Mỹ đã đưa ra thử nghiệm lâm sàng điều trị Polyp mũi bằng thuốc Dupixent từ gốc Dupimab và đến nay thuốc này đã được sử dụng dưới sự kiểm soát của những phản ứng miễn dịch. Trước khi đưa ra lộ trình điều trị Dupixent bệnh nhân cần trải qua xét nghiệm dị ứng miễn dịch để biết liều dùng và lộ trình điều trị thích hợp cho từng người bệnh.
Dưới đây là tư liệu về Dupixent trị liệu do nhà sản xuất thuốc đăng tải.
.png)
Giải pháp của Thủy Trần
Cắt Polyp mũi: Thường gặp là polyp phát sinh từ mặt bên cuốn giữa (Lateral side of middle turbinate) bít kín khe mũi giữa (Middle Meatus). Một tỷ lệ rất nhỏ là những polyp nằm ở khe trên che kín đường dẫn lưu các xoang sau.
Kỹ thuật: Minimally Invasive Sinus Technique (MIST): Kỹ thuật này có ưu điểm lớn là duy trì được chức năng sinh lý giải phẫu mũi xoang. MIST chỉ cắt khối polyp đang làm dầy cộm mặt bên cuốn giữa, có thể cắt thêm một phần lưỡi liềm của mỏm móc để mở thông thoáng khe giữa, làm rộng thống đường dẫn đến các lo tự nhiên của xoang hàm. trán, sàng trước. MIST được thực hiện đơn giản và an toàn.
Kết hợp chăm sóc sau MIST là một qui trình hút rửa mủ xoang theo kỹ thuật Thủy Trần (Thủy Trân Technique - TTT). Khi loại được ổ mủ trong xoang là loại được kích thích xẩy ra tại niêm mạc mũi xoang và hốc mũi, là cách loại bỏ dị ứng tại chỗ. Kết quả điều trị là khỏi bệnh, polyp mũi xoang đã không tái phát. Polyp trong xoang thường là những khối niêm mạc dầy cộm lên, theo rõi qua phim X quang có thể thấy độ mỏng sinh lý của niêm mạc xoang trở lại bình thường.
Nhược điểm của cách chữa phối hợp giữa MIST và TTT là mất thời gian của cả thầy thầy thuốc và người bệnh.
POLYP TÁI PHÁT
Những khối polyp lớn trong các xoang là một vấn để khó khăn nhất cho cả thế giới. Phẫu thuật mở rộng để lấy khối polyp chân bám sâu vào màng niêm mạc lót trong xoang sẽ tạo nên một hốc mổ quá rộng mất chức năng sinh lý, mặt khác những khối polyp này rất dễ tái phát. Chính vì lý do này mà những nhà mũi xoang thế giới và nhà cung ứng thuốc Sanofi mới đề xuất sử dụng Dupimab trong điều trị polyp mũi xoang như tài liệu chúng tôi trích dẫn ở phần trên.